Viruela del mono: origen, cómo se contagia y cuáles son los síntomas del virus Mpox
La enfermedad, endémica a dos zonas concretas de África, ha tenido una incidencia leve en el último año en España
La enfermedad de la viruela símica, conocida como viruela del mono, está provocada por un virus del mismo género que la viruela común, afección erradicada en 1980. Aunque similares, la Organización Mundial de la Salud recalca que la viruela del mono es menos contagiosa y menos grave que su predecesora.

Virus de la viruela símica
Género:
Orthopoxvirus
Familia:
Poxviridae
También, la viruela común
La viruela común
(más contagiosa
y más grave que la del mono),
se erradicó en 1980
Imagen: UK Health Security Agency/
Science Photo Library y Eye of science

Virus de la viruela símica
Género:
Orthopoxvirus
Familia:
Poxviridae
También,
la viruela común
La viruela común (más contagiosa
y más grave que la del mono),
se erradicó en 1980
Imagen: UK Health Security Agency/Science Photo Library y Eye of science
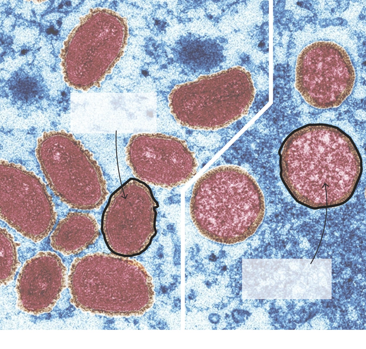
El virus permanece dentro del ser vivo contagiado hasta las 2-4 semanas desde los primeros síntomas.

Partículas
maduras del virus
(forma ovalada)
Partículas
inmaduras del virus
(forma
esférica)
Imagen: Cynthia S. Goldsmith/Centers for Disease Control and Prevention/AFP

Partículas
maduras del virus
(forma ovalada)
Partículas
inmaduras del virus
(forma
esférica)
Imagen: Cynthia S. Goldsmith/Centers for Disease Control and Prevention/AFP

Partículas
maduras del virus
(forma ovalada)
Partículas
inmaduras del virus
(forma esférica)
Imagen: Cynthia S. Goldsmith/Centers for Disease Control and Prevention/AFP

Partículas
maduras del virus
(forma ovalada)
Partículas
inmaduras del virus
(forma esférica)
Imagen: Cynthia S. Goldsmith/Centers for Disease Control and Prevention/AFP
El origen geográfico de la enfermedad se encuentra en dos zonas concretas de África. En África central, concretamente en la cuenca del Congo, la letalidad del virus llega al 10%. En la costa occidental del continente, la letalidad es mucho menor: 1%. En ambas áreas, existe una mayor incidencia en las zonas de selva tropical.
Aunque el nombre de la enfermedad establezca una relación con los primates, ésta no sólo se transmite a través de estos. Es más, son los roedores los animales salvajes que más se han registrado como portadores del virus. Otras especies vinculadas a la viruela símica son las ardillas listadas, las ardillas arborícolas, ratas de Gambia o los lirones enanos africanos.

¿Cómo se contagia?
Origen animal
Primer caso detectado: 1958, en una colonia de primates
Zoonosis vírica: de animal a humano
De humano infectado a humano
Vía de contagio de humano a humano
Contacto estrecho
con flujos corporales:
Secreciones
de las vías
respiratorias (tos)
Lesiones cutáneas
o pústulas propias
de la enfermedad
Objetos
contaminados
recientemente

¿Cómo se contagia?
Zoonosis vírica:
de animal a humano
De humano infectado
a humano
Origen animal
Primer caso
detectado: 1958, en
una colonia
de primates
Vía de contagio de humano a humano Contacto estrecho con flujos corporales
Secreciones
de las vías respiratorias (tos)
Lesiones cutáneas o pústulas propias de la enfermedad
Objetos
contaminados
recientemente
Los síntomas de la enfermedad son leves y sólo presentan gravedad en un número reducido de casos. Estos indicios clínicos se pueden agrupar en tres tipos: los similares a un resfriado, los síntomas diferenciadores de la viruela del mono y las erupciones en la piel.
Síntomas similares a un resfriado
Como la febrícula, la cefalea o la fatiga.
Indicio clínico diferenciador
La inflamación de los ganglios linfáticos es el principal síntoma diferenciador con respecto a un resfriado común.
Erupciones cutáneas
Aparecen, sobre todo, en la cara y en las extremidades.
También en las palmas de las manos y en los pies.
Pueden surgir en las mucosas orales.
En un menor número de casos han aparecido en los genitales.
Incluso pueden surgir en los ojos: en el interior de los párpados o en la córnea.
Evolución de las erupciones
Comienzan con un pequeño punto plano.
Después, crecen de tamaño y se asemejan a los granos o a las erupciones propias de la varicela.
Se convierten en ampollas más grandes y, además, se llenan de líquido claro.
El líquido torna a un color amarillento, similar al pus.
Cuando se convierten en una costra seca, el enfermo ya no contagia la enfermedad.
AUX STEP FOR JS
El periodo de incubación de la viruela símica puede llegar hasta las dos semanas. En total, la enfermedad se desarrolla en no más de un mes.

Fases de la enfermedad
Incubación: 6-16 días
Periodo de invasión: síntomas
0-5 días
Erupción cutánea: después de fiebre
1-3 días

Fases de la enfermedad
Incubación: 6-16 días
Periodo de invasión (síntomas): 0-5 días
Erupción cutánea (después de aparecer fiebre alta): 1-3 días
El diagnóstico de la enfermedad pasa por tres criterios: el clínico, que analiza los síntomas; el epidemiológico, que se centra en la actividad durante las últimas semanas del paciente; y el criterio definitivo, con la prueba de laboratorio que confirma la existencia o no del virus.

El diagnóstico
Caso...
S Sospechoso
P Probable
C Confirmado
S
P
C
Criterio clínico
(síntomas)
Criterio
epidemiológico
• Contacto estrecho
• Viajes a zonas de África endémicas a la enfermedad
Prueba en
laboratorio
Muestra recogida
de las erupciones cutáneas

El diagnóstico
Caso...
Sospechoso
Probable
Confirmado
Criterio clínico (síntomas)
Criterio epidemiológico
• Contacto estrecho
• Viajes a zonas de África
endémicas a la enfermedad
Prueba en laboratorio
Muestra recogida de las erupciones cutáneas
En mayo de 2022 la enfermedad empezó a aparecer fuera de las zonas endémicas africanas. El primer caso confirmado fue en Londres, siendo Reino Unido el país que estuvo más afectado por el Mpox. Hasta mayo de 2023, la propagación del virus estuvo proclamada como una Emergencia de Salud Pública internacional. España también tuvo un número notable de casos confirmados hasta inicios del año pasado, cuando empezaron a remitir los contagiados.
Revista 'Nature', Universidad de Harvard, Organización Mundial de la Salud y Ministerio de Sanidad.
¿Tienes una suscripción? Inicia sesión